•   24/7  Service Available

Fetal Scans


An antenatal ultrasound scan during pregnancy is the first time parents-to-be get to see a baby moving in the womb. High-frequency sound waves, inaudible to the human ear, are transmitted through the abdomen through a device called a transducer to look at the inside of the abdomen.



I. Viability scan (6-10 weeks):

This scan is done between 6-10 weeks of gestational age, to look for site of pregnancy, number of babies, size and cardiac activity.

service image
service image
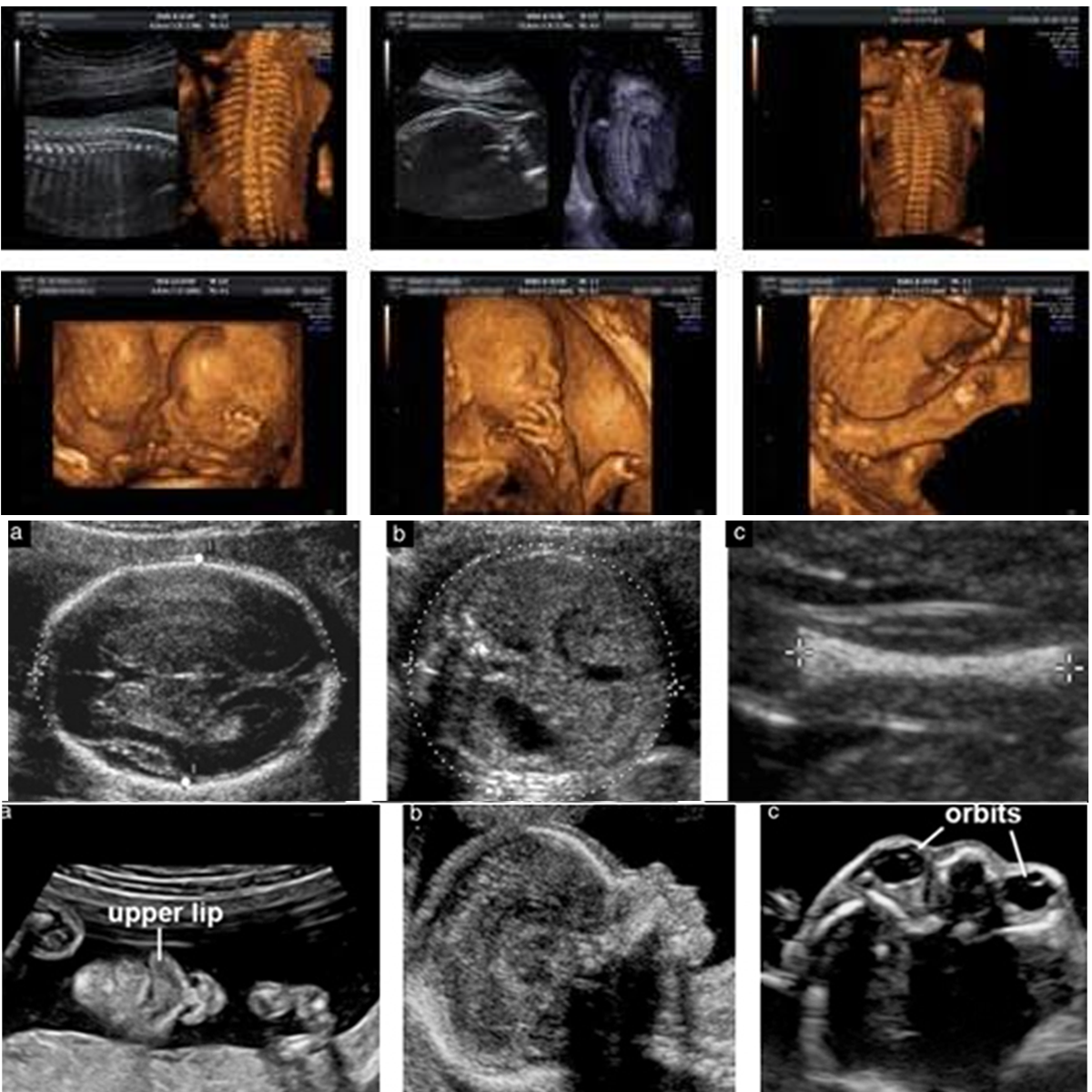
II. First Trimester Screening for Aneuploidies / Anomalies / Pregnancy Complications (Done between 11- 13+6 weeks / 45- 84mm CRL):

This is the most important scan in pregnancy, which provides information on preventable complications in pregnancy, like preterm delivery and hypertensive disorders in pregnancy. If picked up at right time, these problems can be prevented. Screening involves scan and a blood test – to measure hormones free b-HCG and PAPP-A. Also, more than 60%of major structural defects and 93% of chromosomal problems can be identified at this time. Babies with Down syndrome (Trisomy 21, most common chromosomal problem) have intellectual delay and first trimester screening is the most costeffective and efficient way of screening all pregnant ladies for Down syndrome.



III. Early Anomaly Scan / Risk Reassessment Scan (In case of any structural defects in fetus and high risk on biochemical screening) (Done between 16-18 weeks):

Those who have missed first trimester screening can be offered second trimester screening 16 weeks onwards, which involves a blood test (Quadruple marker test) and ultrasound for fetal growth, structural survey and markers for chromosomal problems.

service image
service image
IV. Anomaly Scan / Level II (Done between 20-24 weeks):

Anomaly scan is done at 18-20 weeks of gestation to rule out major structural problems. Fetal growth, amniotic fluid are also checked at the same time. Some patients may need a review scan in case views are not clear due to maternal obesity, previous maternal surgery or at times due to fetal position. Indian MTP law doesn’t allow termination beyond 20 weeks even in case of major malformations and hence it is recommended to do anomaly scan before 20 weeks.



V. Fetal Well Being With Colour Doppler (After 26 weeks):

Done after 26 weeks of gestation, in cases where baby is not growing well, or mother has condition, which can affect baby’s growth, like, diabetes, hypertension, kidney or liver problem, infection.

service image
service image
VI. Fetal Echocardiography (22-24 weeks):

Fetal Echocardiography is ideally done at 22-24 weeks, however, if malformation is suspected, can be performed at any time. Candidates for Fetal Echocardiography are: Suspected cardiac malformation, multiple pregnancy, obese women, previous baby/ pregnancy with cardiac malformation, family history of congenital cardiac disease, maternal diabetes, epilepsy, intake of medicines which increase risk for cardiac defects, eg, medicines for epilepsy.



VII. Transvaginal Scan For Cervical Screening And Pre-eclampsia Screening (From 12 weeks):

This ultrasound is performed transvaginally at 20-24 weeks to look for cervical length and maternal uterine artery blood flow. It helps in screening women who are at increased risk for preterm delivery and hypertensive disorders.

service image
service image
VIII. Growth Scan (26 weeks to 40 weeks):

Scan done after 26 weeks of gestation are called growth scans where growth of the baby and amniotic fluid are checked.



IX. Multiple Pregnancy Scan (Twins, Triplets and so on…):

If there is more than one baby, fetal growth needs to be checked every 4 weeks. There is a subset of multiple pregnancies, called monochorionic or monoamniotic type, they need more frequent scans, every 2 weeks or even more frequently, depending upon presence of any complications.

service image